by Melody Zekey Pand

A bright smile can light up a room, yet many people take oral health for granted. Maintaining healthy teeth is crucial, not only for appearance but also for overall well-being. Early intervention in dental issues can prevent more significant problems in the future. Today’s blog highlights the importance of oral health, the necessity of addressing dental matters promptly, and a personal experience at a dental clinic in Beijing. As a media personality and always in front of the camera, the issue of oral care is important

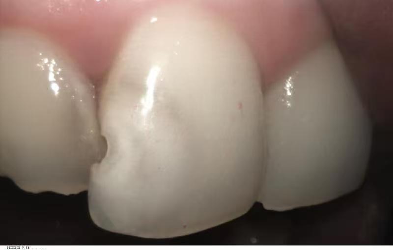
Oral health plays a vital role in daily life. Healthy teeth allow individuals to eat, speak, and smile confidently. However, neglecting dental care can lead to severe consequences. For example, tooth decay is a common problem that affects many people. It can occur even with good hygiene practices due to factors like genetics and diet. In fact, many people experience dental issues despite their best efforts. A personal story illustrates this point: a front tooth began to decay, gradually worsening over the years. Although the initial damage seemed minor, it eventually required extensive treatment. This emphasizes the importance of addressing dental problems early to prevent further complications.


Seeking professional dental care is essential when issues arise. A visit to a reputable clinic can make a significant difference. In Beijing, a dental clinic named Mei Guantao Dental caught attention through social media advertisements. The clinic, located in the Chaoyang District, specializes in treating middle-aged patients. Upon arrival, the professional staff, led by Dr. Wang Weiyang, provided a thorough examination. Despite the initial concern about high prices, a free scan was offered, and the staff ensured clear communication, overcoming any language barriers. This experience highlights the importance of finding a trustworthy clinic where patients feel comfortable discussing their dental health.

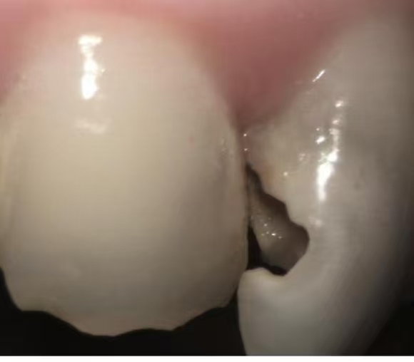
Through the consultation, a root canal procedure was recommended. Surprisingly, the cost was reasonable compared to other options. Temporary fillings provided relief while waiting for a more permanent solution. After nearly a year (not recommended though this was not per doctor’s instruction. ), a follow-up appointment resulted in a thorough filling that restored the tooth’s function and appearance. The dedication of the dental professionals made a significant impact on the overall experience, illustrating the value of choosing the right dental care provider.

In conclusion, I emphasize that maintaining oral health is essential, and addressing dental issues promptly can prevent further complications. The experience at Mei Guantao Dental demonstrates how professional care can restore confidence and ensure a healthier future. Individuals should prioritize their dental health and seek treatment without delay. A beautiful smile deserves the best care, and taking action now can lead to a lifetime of good oral health. See you in my next blog, you never know where I will take you. Subscribe to this blog for more. CHEERS
Leave a Reply